診療案内
MEDICAL
ホワイトニング
ホワイトニング
ホワイトニングとは、歯の表面を漂白する方法です。
歯を削らずに行うことができます。最近では歯に対する意識が高まっており、ご利用者、特に若い方が増えております。
-
治療前
治療前
歯が白くなくなる原因は、コーヒーやタバコによる着色汚れだけではありません。
歯の内側の象牙質は加齢と共に色が濃くなっていく為、自然と歯が黄ばんで見えてしまうことがあります。
これらの外側からくる汚れや内側からくる汚れはホワイトニングで白くすることが出来ます。 -
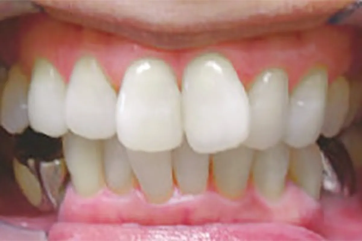
治療後
治療後
こちらがホワイトニング後の写真です。
ホワイトニング治療前のお写真と比べると明らかに歯が白くなっているのがわかります。
白い歯は若々しい印象を与える為、アンチエイジングの効果も期待できます。
- 費用
- 50,000円(税別)
- 治療期間
- 2週間~
- 治療回数(目安)
- 2回
当院のホワイトニング
ホワイトニングとは、歯の黄ばみや黒ずみなどの着色を専用の薬剤で漂白して白い歯にする処置です。
歯は、食べものや飲みものなどの影響でいつの間にか着色してしまい、通常の歯磨きでは改善できません。
ホワイトニングなら、歯を削ることなく着色を除去できるうえ、もともとの歯の色より白くすることも可能です。歯の黄ばみなどにお悩みの方は、当院までお気軽にご相談ください。
仕上がりにご満足
頂けなかった場合
白さにご満足頂けなかった場合は無料で歯科医師によるホワイトニング(オフィスホワイトニング)を行ないます。
(※オフィスホワイトニングは、川口の分院、センタービル歯科で行なっております。)
ホワイトニング治療の注意点
(リスク)
ホワイトニング剤の濃度などが影響して、オフィスホワイトニング後に歯がしみることがあります。
ホームホワイトニングは装着時間を守らないと効果が期待できないため、ご自身で時間を管理していただく必要があります。
Q&A
歯のクリーニング(PMTC)は表面の着色汚れをきれいにするものです。
歯の内部的変色や本来の歯の色以上に白くしたい場合は、ホワイトニングをお勧めしております。
